| Our Smiles |
 |
|
 |
 |
| |
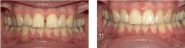
Before Zoom! 1 hour in office
whitening
|
After Zoom! 1 hour in office
whitening |
|
| Do You Want to Zoom!™? |
| The in-office whitening system is a revolutionary
tooth whitening dentistry procedure. It is safe, effective and
fast; very fast. In just over an hour, your teeth will be dramatically
whiter. The convenience of our treatment in comparison to days
of wearing trays and gradual whitening makes it the perfect
choice for the busy individual. Zoom!™ Whitening is ideal
for anyone looking for immediate results. |
| How Zoom!™ Works! |
The Zoom!™ light-activated gel was developed
after years of research by Discus Dental, the leaders in professional
take-home tooth whitening dentistry. The gel is a scientifically
formulated, pH balanced Hydrogen Peroxide that, when activated
by the laser light, gently penetrates the teeth to remove deep
stains and discoloration. With proper care and an occasional
touch-up at home, your whiter smile will sparkle for years.
The whitening procedure is simple and painless. It begins with
a short preparation to isolate your lips and gums. We then apply
the proprietary whitening gel, which is activated by a specially
designed light.
Teeth typically become at least six to ten shades whiter, sometimes
more. A five minute fluoride treatment completes the procedure.
You'll be amazed with the results. In most cases, teeth get
even whiter the first few days after the procedure. |
| |
| Invisalign. The easy way to improve your
smile. |
Invisalign
is a proven technology designed to give you the smile
you've always wanted, without the pain and anxiety associated
with metal braces.
Invisible. Comfortable. And Removable.
To help you get a more beautiful smile, Invisalign uses a series
of clear, removable aligners to gradually move your teeth. You
wear a set of aligners for two to three weeks, removing them
only to eat, drink, brush and floss. As you replace each set
of aligners with the next in the series, your teeth will gradually
move until they reach the position we prescribe for you. The
average treatment time is about a year.
The clear alternative to braces. |
| Why people prefer Invisalign: |
The
convenience and ease of use of the Invisalign system have made
it the choice of over half a million people. In fact, Invisalign
has been effective in giving hundreds of thousands of people
amazing new smiles. Most
people won't notice you're in treatment
Won't
disrupt your lifestyle
No metal wires or bands to irritate your mouth, and best of
all, most people won't notice you're in treatment. Invisalign®,
the clear alternative to braces, has been chosen by over 500,000
people who want amazing smiles.
|
| Invisalign Results: |


|
|
|